quinta-feira, 10 de maio de 2012

O cérebro dos psicopatas tem menos massa cinzenta

A vermelho são as áreas dos pólos temporais com menos massa cinzenta nos psicopatas

A vermelho são as áreas dos pólos temporais com menos massa cinzenta nos psicopatas

A vermelho são as áreas dos pólos temporais com menos massa cinzenta nos psicopatas

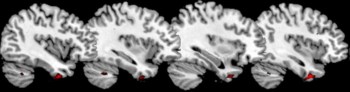
As zonas a vermelho são áreas do córtex pré-frontal com menos massa cinzenta do psicopata

Cientistas britânicos e canadianos afirmam ter confirmado, pela primeira vez, que a psicopatia está associada a anomalias distintivas do desenvolvimento cerebral. Num artigo na revista Archives of General Psychiatry, Nigel Blackwood, do King"s College de Londres, e colegas apresentam o primeiro estudo que examina as diferenças cerebrais entre criminosos violentos com e sem manifestações de psicopatia. Até agora, tinha-se comparado os cérebros de criminosos violentos em geral com os de pessoas que nunca cometeram crimes. 

Sabe-se que a maior parte dos crimes violentos é cometida por um pequeno grupo de homens reincidentes com perturbações anti-sociais da personalidade. Mas nem todos são psicopatas e, embora ninguém saiba o que causa a psicopatia em personagens reais como o norueguês Anders Breivik ou ficcionais como Patrick Bateman, protagonista de American Psycho, as diferenças comportamentais entre anti-sociais psicopatas e não psicopatas são claras. Ao passo que os anti-sociais não psicopatas se tornam agressivos em reacção a uma suposta ameaça ou a sentimentos de frustração e têm níveis de ansiedade e uma instabilidade do humor elevados, os psicopatas têm um défice patente de empatia e de remorsos e usam friamente a agressividade para atingir os seus fins. Não distinguem o bem do mal, não se arrependem dos seus actos, gostam de magoar os outros. "Costumamos descrever os não psicopatas como impulsivos (hot-headed) e os psicopatas como frios e calculistas (cold-hearted)", diz Blackwood em comunicado.

Os cientistas utilizaram a ressonância magnética para obter imagens do cérebro de 44 homens adultos que tinham cometido homicídios, violações, tentativas de homicídio ou causado ferimentos corporais graves a terceiros. Desses, 17 correspondiam ao perfil do psicopata, mas não os restantes 27. Também estudaram os cérebros de 22 pessoas não criminosas. E quando compararam as imagens, viram que os psicopatas, e só eles, apresentavam volumes de matéria cinzenta significativamente reduzidos em duas áreas: na região anterior rostral do córtex pré-frontal e nos pólos temporais. Estas duas áreas são importantes na percepção das emoções e das intenções alheias e são activadas quando pensamos em comportamentos morais, explica o mesmo comunicado. E as lesões nessas áreas têm sido associadas à falta de empatia, de medo, de angústia e de sentimentos de culpa e de vergonha.

Responsabilidade penal

Os novos resultados vêm juntar-se a uma série de outros estudos de visualização cerebral que, nos últimos anos, têm vindo a apontar fortemente para uma base neurobiológica da psicopatia, com alterações estruturais assimiláveis a lesões cerebrais. Coloca-se então a questão de saber se os psicopatas podem ou não ser tidos como moral e legalmente responsáveis pelos seus actos. Mais: será que no futuro as neurociências vão permitir responder a esta pergunta melhor do que hoje?

Marta Farah, da Universidade da Pensilvânia, não acredita que as imagens do cérebro possam um dia ser mais informativas do que as avaliações psicológicas no que respeita à intencionalidade dos criminosos psicopatas. "Diz-se amiúde que não é o cérebro que comete os crimes, mas as pessoas", explica, citada num artigo publicado no site da DANA Foundation (organismo filantrópico que promove a investigação do cérebro). "E mesmo que uma imagem cerebral confirme uma dada perturbação, é pouco provável que possa fornecer uma resposta claramente afirmativa ou negativa à questão de saber se o arguido foi ou não responsável por um acto."

Também para Michael Gazzaniga, não é possível, pelos menos por enquanto, "reconstituir, num dado instante, as intenções de uma pessoa com base nos seus mecanismos neurais". Mas este conhecido neurocientista norte-americano acredita que este tipo de provas acabará por entrar nos tribunais e diz que temos "de nos preparar". Marta Farah, que concorda com essa inevitabilidade, diz que vai ser preciso garantir que os cientistas percebem a relevância legal do seu trabalho e os advogados as vantagens e limitações da ciência.

fonte: Público

Sem comentários:

Enviar um comentário